鱼刺卡喉 , 千万别认为是一件小事 , 甚至可能导致死亡!武汉市人民医院就记录了患者鱼刺卡喉导致大抢救的惊心动魄经历!
鱼刺卡喉引发大抢救!
1.一天抢救两条险些被鱼刺耽误的生命
近日 , 湖北省人民医院胸外科领衔多学科诊疗团队 , 同一天就从死亡线上拉回两条险些被鱼刺耽误的生命 。 ①
一个是生吞8cm鱼刺、插穿食管壁 , 一个是鱼刺逼近主动脉 。
文章插图
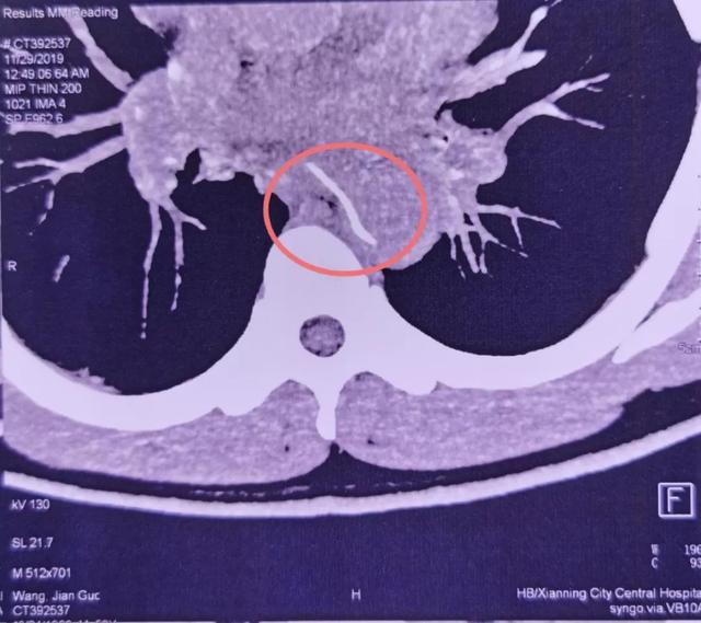
2月9日中午 , 湖北咸宁的曹先生边吃饭边聊天 , 突然一呛 , 吞下去整块鱼 。 瞬间 , 他感觉喉咙被扎 , 咳嗽不止 。
家人连忙拍背 , 让他吞米饭 , 把鱼刺咽下去 。 然而并没有效果 。 曹先生紧忙赶到当地医院 。 CT检查发现 , 一根鱼刺状异物横卧在食管 , 已经刺穿食管壁 , 尖头紧贴心脏主动脉!
文章插图
情况紧急 , 曹先生和家人立即奔赴武汉大学人民医院 。 此时 , 距他误吞鱼刺 , 已有6个多小时 。
了解情况后 , 该院胸外科耿庆教授团队联合心血管外科、消化内科、放射科、麻醉科等 , 组建MDT团队 , 紧急分析讨论病情后一致认为:任何轻微的外力刺激 , 都可能使鱼刺刺穿血管 , 致大出血 , 患者随时可能猝死;食管已被刺破 , 引发感染 , 死亡率也很高 。
救治团队当机立断 , 将其送入手术室 , 行全麻下急诊开胸探查 。 胸外科耿庆教授和汪巍副教授联手 , 从左侧开胸探查胸腔 , 小心翼翼松解胸腔粘连 , 清理干净分泌物后 , 发现鱼刺已刺穿食管 。 鱼刺尖端正处于主动脉弓下方 , 距离主动脉弓仅有1毫米 , 差点就要伤及主动脉 。
顺利拔除鱼刺后 , 耿庆教授立即修补食管 。 术后 , 曹先生病情稳定 , 转入重症医学科接受进一步治疗 。
文章插图
同样“遭罪”的还有来自武汉江夏的胡先生 。 鱼刺卡喉后 , 他也吞了饭 。 结果 , 食管穿孔 , 生命危在旦夕 。
胸外科耿庆教授、汪巍副教授领衔耳鼻喉科、消化内科、麻醉科、放射科等MDT团队倾力救治 。 术中经左侧颈部入路 , 然后经胃镜探查食管 , 最后行颈段气管食管瘘修补术+颈侧切开食道异物取出术 , 成功取出这根鱼刺 。
纵然专家见多识广 , 看到鱼刺也连连惊叹:“圆月弯刀状的鱼刺长达8厘米 , 真不知道是怎么咽下去的!”
文章插图
2.10个科室30位专家参与大抢救
此前 , 2019年湖北省人民医院微信公号曾发文 , 湖北咸宁的林先生也因为“圆月弯刀鱼刺” , 差点付出生命代价 。 ②
一顿饭后 , 林先生感觉有鱼刺卡在喉咙 , 便强吞两口饭、咽下鱼刺 。 两天后 , 他突感剧烈胸痛 , 至武汉大学人民医院急诊科就诊 。
检查发现 , 鱼刺像一把圆月弯刀 , 横插在食管和胸主动脉附近 , 已刺穿食管壁 。 如果盲目拔出 , 必定会形成主动脉破口 。 胸主动脉是人体最粗大的动脉血管 , 压力很高 。 一旦形成破口 , 出血犹如“大坝决堤”一般 , 难有抢救机会 。
文章插图
在医疗部组织下 , 医院胸外科、心血管外科、耳鼻喉-头颈外科、消化内科、介入科、放射科、麻醉科等10个科室30位专家 , 紧急讨论 , 认为必须马上将鱼刺取出 。 如果任其留在体内继续感染 , 林先生将失去最后的机会 。
专家团队确定微创取刺手术方案 。 但没想到 , 上了手术台 , 内镜反复探查 , 术前本已定位精确的鱼刺 , 不见了!
专家团队判断 , 很有可能是术前随食道蠕动 , 或主动脉内血流强劲冲击 , 这根鱼刺穿出食管进入胸腔甚至主动脉 。 此时已没有微创取刺的可能 , 必须尽快开胸探查将鱼刺取出 。
手术方案立即调整 。 胸外科黄杰教授团队接力上台 。 果然 , 鱼刺穿出食管 , 几乎整个扎进主动脉内 , 仅在外露出3毫米的刺尖 。
文章插图
因此 , 不要小看一根鱼刺 , 因为它进入人体有7处致命点!
鱼刺进人体后有七处致命点!
浙江省浦江市中医院普外科副主任医师王光宝曾在其个人微博上曾分享了“一根鱼刺的致命旅途” , 谈到了7处致命点:③
- 主动脉夹层|晨读丨1月27日,关注健康每一天
- 科室|桂林中医院:开展6S管理评比验收活动
- 主动脉|上海专家针刺麻醉为患者微创修补心脏“破洞”
- 座谈会|澧县中医医院实施科室强院战略
- 烟台市|烟台市心理康复医院召开2021年度科室护理工作汇报会
- 县医院|整形“国家队”下基层 从零开始助力县医院科室建设
- 心脏|莫名胸痛竟是心脏“破洞”,上海医生“不开胸修补”救治主动脉窦瘤破裂者
- 心血管科获评“北京市属医院人文建设示范科室”|医院新闻 | 北京市属医院
- 误区|远离这10个监测血糖的误区,才能帮你延缓糖尿病病情进展
- 述职述廉|淄博市第四人民医院召开2021年度科室工作述职述廉评议会
