病例分析:二尖瓣置换后惊现腔室样结构
傻大方提示您本文标题是:《病例分析:二尖瓣置换后惊现腔室样结构》。来源是丁香园。
病例分析:二尖瓣置换后惊现腔室样结构。结构|惊现|心房|置换|二尖瓣---
来自上海交大附属仁济医院的康瑜医师分享了一则关于二尖瓣换瓣后并发左心房夹层的病例。全文于近期发表在 BMJ 杂志。
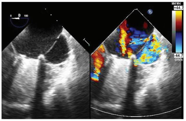
患者为 59 岁女性,因持续进展的呼吸困难和利尿剂治疗无效的下肢水肿而入院治疗,16 年前曾因风湿性做过二尖瓣置换手术和三尖瓣瓣环成形术(De Vega 法,非硬质环)。ECG 结果显示有房颤。经胸壁超声心动图结果显示严重的三尖瓣反流,保留左室和右室收缩性心功能,收缩期肺动脉压轻度升高,以及异常的室腔样结构。因此,经食管超声心动图(TE)结果如图 1 所示。
结构|惊现|心房|置换|二尖瓣---傻大方小编总结的关键词

图 1 经食管超声心动图的四腔图。
问题:这种异常的室腔样结构是什么?
A. 左心房肿物
B. 局部的心包积液
C. 左心房夹层
D. 食管裂孔疝
E. 冠脉假瘤
答案:C
患者曾行二尖瓣置换手术和三尖瓣瓣环成形术。手术过程中也见到了左心房内有一个小夹层腔(见图 2A),随后植入一个机械性二尖瓣,缝合夹层腔的入口点。TOE 结果显示,假腔的大小基本没改变,推测是因为假腔内有血栓形成(见图 2B,*)。不幸的是,患者在术后第三天就因多器官衰竭而死亡。
结构|惊现|心房|置换|二尖瓣---傻大方小编总结的关键词

图 2 (A)手术中可见,该夹层起源于左心房,较小,因瓣周缺陷与左心室相连(入口点,*),位于 P2 部分,也通过一个 5 mm 的洞连接左心房(流出点,黑色箭头处)。白色箭头处为人工二尖瓣。镊子夹住了左心房的内皮细胞层。(B)二尖瓣置换后行经食管超声心动图检查的四腔图所见。(点此查看原图)
左心房夹层,是一种罕见的心脏手术或介入手术的并发症,定义为从二尖瓣环区域到左心房游离壁之间充满血液的假腔,连接或不连接真性左心房腔。这种并发症在心脏手术患者中的发病率大概为 0.02%~0.16%。近期,报道了一个更少见的自发性左心房夹层病例。
这种疾病的临床表现变化很大,从无症状急剧变为快速血流动力学失稳。左心房、肺静脉或二尖瓣流入道阻塞都是决定是否有必要行手术修复的重要影响因素。该患者的症状与重度三尖瓣反流相关性更强,而不是左心房夹层。如果该患者没有严重的肺动脉高压或者明显的右心室功能失调,随后应行手术介入治疗纠正三尖瓣反流。
食管裂孔疝,是由于食管与胃连接部位的错位导致部位胃进入了胸腔纵隔,在超声心动图上表现类似于心脏肿物。冠脉假瘤是部分冠脉异常扩张。在本例中,施加压力后出现瓣周血液漏入腔室,这个现象便可排除掉左心房肿物、心包积液、食管裂孔疝和冠脉假瘤。
本网站所有注明"来源:丁香园"的文字、图片和音视频资料,版权均属于丁香园所有,非经授权,任何媒体、网站或个人不得转载,授权转载时须注明"来源:丁香园"。本网所有转载文章系出于传递更多信息之目的,且明确注明来源和作者,不希望被转载的媒体或个人可与我们联系,我们将立即进行删除处理。
- 20 [高分求解]钴矿石相关题目(要解题过程和分析)
- 案例分析:市政给排水工程造价控制案例分析
- 谁来分析下全面质量管理相比六西格玛培训的局限性?
- 类似于有道语文达人的分析文言文的软件有哪些? 古诗词鉴赏和搜
- 郑州市房地产数据分析
- 2018年教你5招,如何选择银行贷款产品!一一分析!
- 有钱人买房从不买二手房,听老师傅分析完才后悔知道晚
- 小学英语学习方法分析指导是什么?
- 中国金融实务课堂 | 修军:中国金融市场发展现状分析
- 期货从业人员资格证和期货分析师的区别
